Progresul cazului
Istoric
- 35, bărbat, 185cm (6ft),75Kg (165lbs), fumător, alcool ocazional, fără droguri
- Nicio alergie cunoscută.
- Nicio boală cronică.
- Am avut contact cu pisică si câine cu o zi înainte.
- Am vizitat o pădure cu o zi înainte.
- În martie am avut dificultăți de respirație
- a trecut cu medicamente pe bază de plante: Baraka, Astha15
- radiografia a fost curată, diagnosticul medicului: rinită alergică, posibil teren atopic
- inainte de asta am fumat țigări încălzite IQOS, după asta am revenit la țigări normale.
- Înainte de evenimentele descrise mai jos
- am fumat țigări incalzite cam 2 sapt, ma oprisem 4-5 zile înainte să inceapă urticaria.
- poate cu ~2 sapt înainte am observat că aveam mâinile puțin umflate dimineața. în general trecea peste zi.
- un prieten, student la medicină, a observat că șchiopăt putin. În general, asta trecea după ce mergeam puțin.
- am luat o aspirină cu o zi înainte să înceapă urticaria.
Mai jos, descrierea completă a cazului, incepând cu ziua 1
Ziua 1 - 2020.10.19
- apare o erupție pe ceafă și mai puțin în alte locuri
- mâncărimea a început cu 3-4 zile înainte dar nu era deranjantă
- farmacistul a recomandat : Xyzal (Levocetirizine) și creme cu corticoid
Tratament zilnic:
- Xyzal - Levocetirizine 1/zi (5mg)
Ziua 2 - 2020.10.20
- erupția se extinde. Se pare că este mai rau acolo unde a fost contact între piele și altceva (ramă ochelari, spătarul scaunului)
- am avut o consultație online cu un medic dermatolog ce a prescris Tamalis (Rupatadine) + creme.
- diagnostic: reacție alergică
- imediat dupa consult a început febra : 38°C/100°F
Tratament zilnic:
- Xyzal - Levocetirizine 1/zi (5mg)
- Tamalis - Rupatadine 1/zi
Ziua 3 - 2020.10.21
- am făcut test de Covid-19. Două zile mai târziu se va dovedi negativ.
- febra puțin mai mare : 38.5°C/101.3°F
- fața e mai ok
- mâinile sunt mai umflate.
- erupția se extinde de la gât în jos.
Tratament zilnic:
- Xyzal - Levocetirizine 1/zi (5mg)
- Tamalis - Rupatadine 1/zi
- 1 paracetamol de adulți pt. febra.
Ziua 4 - 2020.10.22
- am văzut un alt medic dermatolog, de data asta în clinică.
- diagnostic: Urticarie alergică acută
- tratmentul se menține + prescripție advantan.
- recomandare de regim, ceea ce o să țin in continuare.
- febra incepe seara : 38.5°C/101.3°F
- partea de sus a pielii e mai ok, mai puțin picioarele.
Tratament zilnic:
- Xyzal - Levocetirizine 1/zi (5mg)
- Tamalis - Rupatadine 1/zi
- Hydrocortisone hemisuccinate iv, 100mg
- 1 paracetamol de adulți pt. febra.
Ziua 5 - 2020.10.23
- nu mai este febra
- erupția dispare de peste tot, cu excepția picioarelor care încă sunt umflate.
- mâinile nu mai sunt umflate, dar sunt mici vânătai pe palme.
Tratament zilnic:
- Xyzal - Levocetirizine 1/zi (5mg)
- Tamalis - Rupatadine 1/zi
La recomandarea medicului, fac urmatoarele analize:
* Proteina C reactiva...
14,870 mg/dL (<= 0,500)
148,70 mg/L (<= 5,00)
* IgE total...
598,3 UI/mL (< 158,0)d
* Fibrinogen...7,72 g/L (1,7 - 4,2)
Neck and throat cultures:
ABSENT STREPTOCOCI BETA HEMOLITICI
ABSENT STAPHYLOCOCCUS AUREUS
ABSENT STREPTOCOCI BETA HEMOLITICI
Hemoleucograma...
Hematii....... 5130000 /mm3 (4570000 - 5980000)
Hemoglobina... 14,8 g/dL (13,9 - 17,7)
Hematocrit.... 45,5 % (39,6 - 51,8)
MCV........... 88,5 fL (80,1 - 95,3)
MCH........... 28,9 pg (27,6 - 33,2)
* MCHC.........32,6 g/dL (33,0 - 37,2)
RDW........... 12,7 % (11,5 - 14,7)
Trombocite.... 308000 /mm3 (150000 - 370000)
* Leucocite....10410 /mm3 (3790 - 10330)
FORMULA LEUCOCITARA:
Neutrofile... 49,00 % 5100 /mm3 (42,00 - 77,00)
* Limfocite...44,30 % 4620 /mm3 (20,00 - 44,00)
Monocite..... 4,80 % 500 /mm3 (2,00 - 9,50)
Eozinofile... 1,30 % 140 /mm3 (0,50 - 5,50)
Bazofile..... 0,60 % 60 /mm3 (0,00 - 1,75)
* VSH...........39 mm/h (<= 15)
TGO (ASAT)...18 U/L (15 - 40)
TGP (ALAT)...17 U/L (10 - 40)
Creatinina serica...
0,77 mg/dL (0,60 - 1,10)
68 μmol/L (53 - 97)
Creatinina urinara spot...
152 mg/dL (24 - 392)
13,4 mmol/L (2,1 - 34,7)
Feritina...
236,1 ng/mL (22,0 - 322,0)
519,4 pmol/L (48,4 - 708,4)
GGT (gama glutamiltransferaza)...30 U/L (< 73)
Glucoza...
96 mg/dL (74 - 106)
5,33 mmol/L (4,11 - 5,88)
Uree serica...
25,5 mg/dL (12,8 - 42,8)
4,3 mmol/L (2,1 - 7,1)
Urine test (biochimie + sediment)...
PH.................. 6,5 (5,0 - 8,0)
Densitate........... 1,018 (1,016 - 1,022)
Proteine............ negativ negativ
Glucoza............. normal normal
Corpi cetonici...... negativ negativ
Nitriti............. negativ negativ
Urobilinogen........ normal normal
Pigmenti biliari.... negativ negativ
Culoare............. Yellow (translated)
Aspect.............. Clear (translated)
SEDIMENT:
Eritrocite...........1 /μL (<17)
Leucocite............2 /μL (<28)
Ziua 6 - 2020.10.24
- cu excepția picioarelor, totul este curat.
- mâinile sunt ok
Tratament zilnic:
- Xyzal - Levocetirizine 1/zi (5mg)
- Tamalis - Rupatadine 1/zi
Mai multe teste, la recomandarea medicului infecționist:
* Proteina C reactiva...
6,680 mg/dL (<= 0,500) (prev value 14,870)
66,80 mg/L (<= 5,00) 148,70
* IgE total... 647,9 UI/mL (< 158,0) (prev value 598,3)
Examen coproparazitologic...
Negative for Giardia lambli, larvea, parasites
Ac. anti Echinococcus granulosus & multilocularis IgG..
0,110 Index (< 0,900)
Ac. anti Trichinella spiralis IgG...
0,676 Index (< 0,850)
Ac. anti Taenia solium IgG...
0,280 Index (< 0,900)
* Ac. anti Cytomegalovirus - IgG - calitativ...
8,32 Index (< 0,90)
Ac. anti Cytomegalovirus - IgM...
0,130 Index (< 0,900)
* Ac. anti virus Epstein Barr EBNA IgG...
74,3 U/mL (750,0 U/mL)
* Ac. anti virus Epstein Barr VCA IgG....
750,0 U/mL (< 20,0)
Ac. anti virus Epstein Barr VCA IgM......
10,0 U/mL (< 20,0)
Ziua 7 - 2020.10.25
- nu mai sunt semne de erupție pe corp.
- tratamentul cu Tamalis se termină
- simt mâncărime pe mâini și ceafă, în special seara
- sunt mici răni la colțul gurii
Tratament zilnic:
- Xyzal - Levocetirizine 1/zi (5mg)
- Tamalis - Rupatadine 1/zi - ultima pastilă
- Aciclovir - pentru colțul gurii
Ziua 8 - 2020.10.26
- Xyzal - tratamentul se termină azi.
- simt mâncărime pe mâini și ceafă, în special seara
Tratament zilnic:
- Xyzal - Levocetirizine 1/zi (5mg) - last pill
- Aciclovir pentru colțul gurii
Ziua 9 - 2020.10.27
- totul este ok, poate puțină mâncărime
Tratament zilnic:
- Aciclovir pentru colțul gurii
Ziua 10 - 2020.10.28
- simt mâncărime pe mâini și ceafă, în special seara
- seara, târziu, observ erupție pe picioare, mâini și mici puncte roșii pe corp.
- tălpile picioarelor sunt inflamate, e foarte inconfortabil de mers.
VSH...18 mm/h (<= 15)
Proteina C reactiva... 1,012 mg/dL (<= 0,500)
Fibrinogen... 5,03 g/L (1,7 - 4,2)
ASLO cantitativ... 44 UI/mL (<= 200)
TPHA (test de hemaglutinare pasiva)...Negativ
Hemoleucograma...
Hematii....... 5450000 /mm3 (4570000 - 5980000) 23/10/2020 5130000
Hemoglobina... 15,7 g/dL (13,9 - 17,7) 23/10/2020 14,8
Hematocrit.... 47,9 % (39,6 - 51,8) 23/10/2020 45,5
MCV........... 88,0 fL (80,1 - 95,3) 23/10/2020 88,5
MCH........... 28,8 pg (27,6 - 33,2) 23/10/2020 28,9
*MCHC.......... 32,7 g/dL (33,0 - 37,2) 23/10/2020 32,6
RDW........... 12,6 % (11,5 - 14,7) 23/10/2020 12,7
*Trombocite.... 382000 /mm3 (150000 - 370000) 23/10/2020 308000
*Leucocite..... 10360 /mm3 (3790 - 10330) 23/10/2020 10410
FORMULA LEUCOCITARA:
Neutrofile... 60,80 % 6300 /mm3 (42,00 - 77,00) 23/10/2020 49,00
Limfocite.... 32,50 % 3360 /mm3 (20,00 - 44,00) 23/10/2020 44,30
Monocite..... 4,90 % 510 /mm3 (2,00 - 9,50) 23/10/2020 4,80
Eozinofile... 1,20 % 120 /mm3 (0,50 - 5,50) 23/10/2020 1,30
Bazofile..... 0,60 % 70 /mm3 (0,00 - 1,75) 23/10/2020 0,60
Ac. anti Mycoplasma pneumoniae IgG...< 0,1 UA/mL (< 10,0)
Interpretare:
IgG < 10,0 UA/mL ..... Negativ
IgG >= 10,0 UA/mL ..... Pozitiv
Ac. anti Mycoplasma pneumoniae IgM...1,5 Index (< 10,0)
Interpretare:
Index IgM < 10,0 ..... Negativ
Index IgM >= 10,0 ..... Pozitiv
Tratament zilnic:
- nimic
Ziua 11 - 2020.10.29
- simt mâncărime pe tot capul (ceafă și superior), toată ziua
- contactez medicul: o sa iau Tamalis și Xyzal încă 5 zile
Tratament zilnic:
- Xyzal 1/zi (5mg)
- Tamalis - Rupatadine 1/zi
Ziua 12 - 2020.10.30
- a fost mâncărime pe mâini și picioare pe timpul nopții
- erupția s-a extins din nou, pare mai puțin “agresivă” decât prima dată
- rănile de la colțul gurii aproape au dispărut
- pozele sunt făcute la ~36h de cele anterioare
Tratament zilnic:
- Xyzal 1/zi (5mg)
- Tamalis - Rupatadine 1/zi
- Aciclovir pentru colțul gurii
Ziua 13 - 2020.10.31
- am vazut un medic alergolog, așa că tratamentul o sa se schimbe.
- dimineața, erupția s-a inrăutățit substanțial; deja e pe tot corpul și față
- rănile de la colțul gurii au dispărut
- la prânz, încep tratamentul de mai jos
- în timpul zile a fost o febră mică, la fel ca data trecută când a fost erupție pe tot corpul
- seara pare că erupția se mai reduce, dar tot este peste tot
Tratament zilnic:
- Medrol - Prednisone (3*16mg) 2 - 1 - 0 - 10 days
- Xyzal - Levocetirizine (2* 5mg) 1 - 0 - 1 - 30 days
- Borenar - Bilastine (2*20mg) 1 - 0 - 1 - 30 days
- Nexium - Esomeprazole (2*20mg) 1 - 1 - 0 - 10 days
Ziua 14 - 2020.11.01
- la prânz, erupția aproape a dispărut - mai sunt puncte roșii pe alocuri
- seara, este măncărime puternică pe mâini și picioare, poate ușor și la spatele urechilor și spatele palmelor
Tratament zilnic:
- Medrol - Prednisone (3*16mg) 2 - 1 - 0 - 10 days
- Xyzal - Levocetirizine (2* 5mg) 1 - 0 - 1 - 30 days
- Borenar - Bilastine (2*20mg) 1 - 0 - 1 - 30 days
- Nexium - Esomeprazole (2*20mg) 1 - 1 - 0 - 10 days
Ziua 15 - 2020.11.02
- dimineața, eurpția se extinde pe maini și picioare
- pozele sunt făcute dimineața
- la recomandarea medicului, cresc doza de medrol la 4/zi
- seara, situația e mai bună. cercurile se transforma în puncte
Tratament zilnic:
- Medrol - Prednisone (4*16mg) 2 - 2 - 0
- Xyzal - Levocetirizine (2* 5mg) 1 - 0 - 1
- Borenar - Bilastine (2*20mg) 1 - 0 - 1
- Nexium - Esomeprazole (2*20mg) 1 - 1 - 0
Ziua 16 - 2020.11.03
- erupția aproape a dispărut, mai ramân puncte mici, roșiaice, împraștiate pe corp.
- mâncărimea aproape a dispărut, dar mai apare peste zi la un nivel tolerabil
Tratament zilnic:
- Medrol - Prednisone (4*16mg) 2 - 2 - 0
- Xyzal - Levocetirizine (2* 5mg) 1 - 0 - 1
- Borenar - Bilastine (2*20mg) 1 - 0 - 1
- Nexium - Esomeprazole (2*20mg) 1 - 1 - 0
Ziua 17- 2020.11.04
- erupția aproape a dispărut, mai ramân puncte mici, roșiaice, împraștiate pe corp.
- mâncărimea aproape a dispărut, dar mai apare peste zi la un nivel tolerabil (mai puțin dcât înainte)
- am făcut puțin efort azi, au apărut puncte roșiatice pe laba piciorului, dar mai puțin decât ziua 17
Tratament zilnic:
- Medrol - Prednisone (4*16mg) 2 - 2 - 0
- Xyzal - Levocetirizine (2* 5mg) 1 - 0 - 1
- Borenar - Bilastine (2*20mg) 1 - 0 - 1
- Nexium - Esomeprazole (2*20mg) 1 - 1 - 0
Ziua 18- 2020.11.05
- mai ramân puncte mici, roșiaice, împraștiate pe corp. unele apar și dispar a doua zi
- la recomandarea medicului fac următoarele teste:
ALEX-MADx, test serologic pt. 282 alergeni. Totul e negativ.
*Fibrinogen...
- 4,38 g/L (1,7 - 4,2) prev: 28/10/2020 5,03
* IgE total...
- 760,1 UI/mL (< 158,0) 24/10/2020 647,9
* Proteina C reactiva...
- 0,667 mg/dL (<= 0,500) 28/10/2020 1,012
- 6,67 mg/L (<= 5,00) 10,12
TSH (hormon hipofizar tireostimulator bazal)...
- 0,6300 μUI/mL (0,5500 - 4,7800)
* VSH... 22 mm/h (<= 15) 28/10/2020 18
Ac. anti Herpes simplex virus 1/2 IgM
- < 0,50 Index (< 0,90)
Hemoleucograma...
Hematii....... 5290000 /mm3 (4570000 - 5980000) 28/10/2020 5450000
Hemoglobina... 15,2 g/dL (13,9 - 17,7) 28/10/2020 15,7
Hematocrit.... 45,9 % (39,6 - 51,8) 28/10/2020 47,9
MCV........... 86,7 fL (80,1 - 95,3) 28/10/2020 88,0
MCH........... 28,8 pg (27,6 - 33,2) 28/10/2020 28,8
MCHC.......... 33,2 g/dL (33,0 - 37,2) 28/10/2020 32,7
RDW........... 12,5 % (11,5 - 14,7) 28/10/2020 12,6
*Trombocite.... 440000 /mm3 (150000 - 370000) 28/10/2020 382000
*Leucocite..... 13760 /mm3 (3790 - 10330) 28/10/2020 10360
FORMULA LEUCOCITARA:
Neutrofile... 73,40 % 10100 /mm3 (42,00 - 77,00) 28/10/2020 60,80
*Limfocite.... 18,70 % 2570 /mm3 (20,00 - 44,00) 28/10/2020 32,50
Monocite..... 7,60 % 1050 /mm3 (2,00 - 9,50) 28/10/2020 4,90
*Eozinofile... 0,20 % 20 /mm3 (0,50 - 5,50) 28/10/2020 1,20
Bazofile..... 0,10 % 20 /mm3 (0,00 - 1,75) 28/10/2020 0,60
Ac. anti Helicobacter pylori - IgG - cantitativ
- 3,37 U/mL normal: (< 0,90)
Ac. anti Toxocara canis IgG...
- 0,134 Index (< 0,900)
Tratament zilnic:
- Medrol - Prednisone (4*16mg) 2 - 2 - 0
- Xyzal - Levocetirizine (2* 5mg) 1 - 0 - 1
- Borenar - Bilastine (2*20mg) 1 - 0 - 1
- Nexium - Esomeprazole (2*20mg) 1 - 1 - 0
Ziua 19 - 2020.11.06
- punctele roșii dispar (mai sunt puține), mâncărimea este redusă mult
Tratament zilnic:
- Medrol - Prednisone (4*16mg) 2 - 2 - 0
- Xyzal - Levocetirizine (2* 5mg) 1 - 0 - 1
- Borenar - Bilastine (2*20mg) 1 - 0 - 1
- Nexium - Esomeprazole (2*20mg) 1 - 1 - 0
Ziua 20- 2020.11.07
- punctele roșii au dispărut, mâncărimea aproape a dispărut
Tratament zilnic:
- Medrol - Prednisone (4*16mg) 2 - 2 - 0
- Xyzal - Levocetirizine (2* 5mg) 1 - 0 - 1
- Borenar - Bilastine (2*20mg) 1 - 0 - 1
- Nexium - Esomeprazole (2*20mg) 1 - 1 - 0
Ziua 21- 2020.11.08
- punctele roșii au dispărut, mâncărimea aproape a dispărut (e mai puțin decăt ieri)
- am petrecut 4h într-o zona împadurită, efort minim
- spre finalul zilei, mici puncte roșiatice au aparut pe mâini și în jurul gâtului spre piept
Tratament zilnic:
- Medrol - Prednisone (4*16mg) 2 - 2 - 0
- Xyzal - Levocetirizine (2* 5mg) 1 - 0 - 1
- Borenar - Bilastine (2*20mg) 1 - 0 - 1
- Nexium - Esomeprazole (2*20mg) 1 - 1 - 0
Ziua 22- 2020.11.09
- tratamentul este redus. 1 medrol mai puțin
- mici puncte roșiatice apar în jurul gâtului, dar dispar la cateva ore după ce iau antihistaminele sau prednisone-ul
Tratament zilnic:
- Medrol - Prednisone (2*16mg) 1 - 1 - 0
- Xyzal - Levocetirizine (2* 5mg) 0 - 0 - 1
- Borenar - Bilastine (2*20mg) 1 - 0 - 0
- Nexium - Esomeprazole (2*20mg) 1 - 1 - 0
Ziua 23- 2020.11.10
- mici puncte roșiatice apar în jurul gâtului, dar dispar la cateva ore după ce iau antihistaminele sau prednisone-ul
Tratament zilnic:
- Medrol - Prednisone (3*16mg) 1 - 1 - 0
- Xyzal - Levocetirizine (2* 5mg) 0 - 0 - 1
- Borenar - Bilastine (2*20mg) 1 - 0 - 0
- Nexium - Esomeprazole (2*20mg) 1 - 1 - 0
Ziua 24- 2020.11.11
- din ce în ce mai puține puncte roșiatice
Tratament zilnic:
- Medrol - Prednisone (2*16mg) 1 - 1 - 0
- Xyzal - Levocetirizine (2* 5mg) 0 - 0 - 1
- Borenar - Bilastine (2*20mg) 1 - 0 - 0
- Nexium - Esomeprazole (2*20mg) 1 - 1 - 0
Ziua 25- 2020.11.12
- erupție pe piept dimineața, crește putin peste zi
- merg la doctor din nou. pe lăngă tratamentul pentru urticarie, primesc antibiotice pt. o suspectă infecție cu Helicobacter Pylori
- Xyzal și Borenar ar trebui să iau 2/zi cât timp este erupție, altfel 1/zi
Tratament zilnic:
- Medrol - Prednisone (2* 16mg) 1 - 1 - 0
- Xyzal - Levocetirizine (2* 5mg) 1 - 0 - 1
- Borenar - Bilastine (2* 20mg) 1 - 0 - 1
- Nexium - Esomeprazole (2* 20mg) 1 - 1 - 0
- KLACID - Clarithromycin (2* 500mg) 1 - 0 - 1
- Amoxicilin (2*1000mg) 1 - 0 - 1
Ziua 26- 2020.11.13
- dimineața, erupția de pe piept e mai mică decât ieri
- erupția aproape dispare până dupa-masa
Tratament zilnic:
- Medrol - Prednisone (2* 16mg) 1 - 1 - 0
- Xyzal - Levocetirizine (2* 5mg) 1 - 0 - 1
- Borenar - Bilastine (2* 20mg) 1 - 0 - 1
- Nexium - Esomeprazole (2* 20mg) 1 - 1 - 0
- KLACID - Clarithromycin (2* 500mg) 1 - 0 - 1
- Amoxicilin (2*1000mg) 1 - 0 - 1
Ziua 27- 2020.11.14
- erupția dispare dar, în general, pielea e roșiatică, în special în zona gâtului și a palmelor
Tratament zilnic:
- Medrol - Prednisone (2* 16mg) 1 - 1 - 0
- Xyzal - Levocetirizine (2* 5mg) 1 - 0 - 1
- Borenar - Bilastine (2* 20mg) 1 - 0 - 1
- Nexium - Esomeprazole (2* 20mg) 1 - 1 - 0
- KLACID - Clarithromycin (2* 500mg) 1 - 0 - 1
- Amoxicilin (2*1000mg) 1 - 0 - 1
Ziua 28- 2020.11.15
- dimineața pielea e roșiatică, în zona gâtului și a palmelor
- la prânz, înainte de tura a doua de medicamente, erau puncte roșiatice in zona gâtului similar cu ziua 27; acestea dispar la 2-3h după ce iau medicamentele
- scaunul devine regulat și consistent
Tratament zilnic:
- Medrol - Prednisone (2* 16mg) 1 - 1 - 0
- Xyzal - Levocetirizine (2* 5mg) 1 - 0 - 1
- Borenar - Bilastine (2* 20mg) 1 - 0 - 1
- Nexium - Esomeprazole (2* 20mg) 1 - 1 - 0
- KLACID - Clarithromycin (2* 500mg) 1 - 0 - 1
- Amoxicilin (2*1000mg) 1 - 0 - 1
Ziua 29- 2020.11.16
- în general mai bine, fără puncte roșiatice vizibile
- persistă pielea roșiatică în zona gâtului și a palmelor
Tratament zilnic:
- Medrol - Prednisone (2* 16mg) 1 - 1 - 0
- Xyzal - Levocetirizine (2* 5mg) 1 - 0 - 1
- Borenar - Bilastine (2* 20mg) 1 - 0 - 1
- Nexium - Esomeprazole (2* 20mg) 1 - 1 - 0
- KLACID - Clarithromycin (2* 500mg) 1 - 0 - 1
- Amoxicilin (2*1000mg) 1 - 0 - 1
Ziua 30- 2020.11.17
- dimineața ma trezesc cu o erupție în zona gâtului și pe frunte. la fel ca înainte, dispare la 2-3h dupa ce iau medicamentele
- seara, erupția a disparut.
- persistă pielea roșiatică în zona gâtului și a palmelor
Tratament zilnic:
- Medrol - Prednisone (2* 16mg) 1 - 1 - 0
- Xyzal - Levocetirizine (2* 5mg) 1 - 0 - 1
- Borenar - Bilastine (2* 20mg) 1 - 0 - 1
- Nexium - Esomeprazole (2* 20mg) 1 - 1 - 0
- KLACID - Clarithromycin (2* 500mg) 1 - 0 - 1
- Amoxicilin (2*1000mg) 1 - 0 - 1
Ziua 31- 2020.11.18
- nicio erupție.
- persistă pielea roșiatică în zona gâtului și a palmelor (redusă în palme)
- fac analize pentru evaluarea răspunsului la antibiotice:
Factor reumatoid... Rheumatoid factor
< 3,5 UI/mL (< 14,0)
Fibrinogen...
2,67 g/L (1,7 - 4,2) 05/11/2020 4,38
*IgE total...
1313,6 UI/mL (< 158,0) 05/11/2020 760,1
Proteina C reactiva...
< 0,050 mg/dL (<= 0,500) 05/11/2020 0,667
VSH...
6 mm/h (<= 15) 05/11/2020 22
Aspergillus Antibodies 1: < 80 reference: 1: < 80
Hemoleucograma...
Hematii....... 5770000 /mm3 (4570000 - 5980000) 05/11/2020 5290000
Hemoglobina... 16,2 g/dL (13,9 - 17,7) 05/11/2020 15,2
Hematocrit.... 50,8 % (39,6 - 51,8) 05/11/2020 45,9
MCV........... 88,0 fL (80,1 - 95,3) 05/11/2020 86,7
MCH........... 28,1 pg (27,6 - 33,2) 05/11/2020 28,8
*MCHC.......... 32,0 g/dL (33,0 - 37,2) 05/11/2020 33,2
RDW........... 13,8 % (11,5 - 14,7) 05/11/2020 12,5
Trombocite.... 326000 /mm3 (150000 - 370000) 05/11/2020 440000
*Leucocite..... 14840 /mm3 (3790 - 10330) 05/11/2020 13760
FORMULA LEUCOCITARA:
*Neutrofile... 85,70 % 12720 /mm3 (42,00 - 77,00) 05/11/2020 73,40
*Limfocite.... 10,30 % 1530 /mm3 (20,00 - 44,00) 05/11/2020 18,70
Monocite..... 3,80 % 560 /mm3 (2,00 - 9,50) 05/11/2020 7,60
*Eozinofile... 0,10 % 10 /mm3 (0,50 - 5,50) 05/11/2020 0,20
Bazofile..... 0,20 % 20 /mm3 (0,00 - 1,75) 05/11/2020 0,10
Tratament zilnic:
- Medrol - Prednisone (2* 16mg) 1 - 1 - 0
- Xyzal - Levocetirizine (2* 5mg) 1 - 0 - 1
- Borenar - Bilastine (2* 20mg) 1 - 0 - 1
- Nexium - Esomeprazole (2* 20mg) 1 - 1 - 0
- KLACID - Clarithromycin (2* 500mg) 1 - 0 - 1
- Amoxicilin (2*1000mg) 1 - 0 - 1
Ziua 32- 2020.11.19
- nicio erupție. mă simt mult mai bine
Tratament zilnic:
- Medrol - Prednisone (2* 16mg) 1 - 1 - 0
- Xyzal - Levocetirizine (2* 5mg) 1 - 0 - 1
- Borenar - Bilastine (2* 20mg) 1 - 0 - 1
- Nexium - Esomeprazole (2* 20mg) 1 - 1 - 0
- KLACID - Clarithromycin (2* 500mg) 1 - 0 - 1
- Amoxicilin (2*1000mg) 1 - 0 - 1
Ziua 33- 2020.11.20
- nicio erupție. mă simt mult mai bine
Tratament zilnic:
- Medrol - Prednisone (2* 16mg) 1 - 1 - 0
- Xyzal - Levocetirizine (2* 5mg) 1 - 0 - 1
- Borenar - Bilastine (2* 20mg) 1 - 0 - 1
- Nexium - Esomeprazole (2* 20mg) 1 - 1 - 0
- KLACID - Clarithromycin (2* 500mg) 1 - 0 - 1
- Amoxicilin (2*1000mg) 1 - 0 - 1
Ziua 34- 2020.11.21
- nicio erupție. mă simt mult mai bine
- mâinile/brațele sunt foarte uscate, folosesc o cremă hidratantă
Tratament zilnic:
- Medrol - Prednisone (2* 16mg) 1 - 1 - 0
- Xyzal - Levocetirizine (2* 5mg) 1 - 0 - 1
- Borenar - Bilastine (2* 20mg) 1 - 0 - 1
- Nexium - Esomeprazole (2* 20mg) 1 - 1 - 0
- KLACID - Clarithromycin (2* 500mg) 1 - 0 - 1
- Amoxicilin (2*1000mg) 1 - 0 - 1
Ziua 35- 2020.11.22
- nicio erupție
- persistă pielea roșiatică în zona gâtului și a palmelor (redusă în palme)
- Tratamentul cu antibiotice se termină astăzi. - 10 zile
- am făcut mai mult efort decât de obicei
Tratament zilnic:
- Medrol - Prednisone (2* 16mg) 1 - 1 - 0
- Xyzal - Levocetirizine (2* 5mg) 1 - 0 - 1
- Borenar - Bilastine (2* 20mg) 1 - 0 - 1
- Nexium - Esomeprazole (2* 20mg) 1 - 1 - 0
- KLACID - Clarithromycin (2* 500mg) 1 - 0 - 0
- Amoxicilin (2*1000mg) 1 - 0 - 0
Ziua 36- 2020.11.23
- nicio schimbare
Tratament zilnic:
- Medrol - Prednisone (2* 16mg) 1 - 1 - 0
- Xyzal - Levocetirizine (2* 5mg) 1 - 0 - 1
- Borenar - Bilastine (2* 20mg) 1 - 0 - 1
- Nexium - Esomeprazole (2* 20mg) 1 - 1 - 0
Ziua 37- 2020.11.24
- ceva nu e in regulă cu laba piciorului stâng
- e dureros de mers
- nu-mi dau seama dacă e umflată zona care doare, poate puțin
- doare puțin daca apas în partea laterală (poza).
- a fost o zi mai agitată (nu efort fizic)
- înainte de tura de seară a medicamentelor, erau mici puncte roșiatice desupra palmelor. au dispărut la 2-3h după ce am luat medicamentele
- simt mâncărime în cap, tolerabil
Tratament zilnic:
- Medrol - Prednisone (2* 16mg) 1 - 1 - 0
- Xyzal - Levocetirizine (2* 5mg) 1 - 0 - 1
- Borenar - Bilastine (2* 20mg) 1 - 0 - 1
- Nexium - Esomeprazole (2* 20mg) 1 - 1 - 0
Ziua 38- 2020.11.25
- piciorul stâng e mai ok, dar tot mai simt puțină durere când pășesc.
- nicio erupție, dar persistă mâncărime în cap (mai puțin decât ieri) și în zona urechilor, unde stau ochelarii
Tratament zilnic:
- Medrol - Prednisone (2* 16mg) 1 - 1 - 0
- Xyzal - Levocetirizine (2* 5mg) 1 - 0 - 1
- Borenar - Bilastine (2* 20mg) 1 - 0 - 1
- Nexium - Esomeprazole (2* 20mg) 1 - 1 - 0
Ziua 39- 2020.11.26
- nicio erupție, mai putin mancarime
- piciorul stâng e mai ok, doare mai puțin
Tratament zilnic:
- Medrol - Prednisone (2* 16mg) 1 - 1 - 0
- Xyzal - Levocetirizine (2* 5mg) 1 - 0 - 1
- Borenar - Bilastine (2* 20mg) 1 - 0 - 1
- Nexium - Esomeprazole (2* 20mg) 1 - 1 - 0
Ziua 40- 2020.11.27
- nicio erupție, mai putin mancarime
- piciorul stâng aproape nu mai doare
- reduc medrol de la 16mg/zi la 8mg/zi
Tratament zilnic:
- Medrol - Prednisone (2* 8mg) 1 - 1 - 0
- Xyzal - Levocetirizine (2* 5mg) 1 - 0 - 1
- Borenar - Bilastine (2* 20mg) 1 - 0 - 1
- Nexium - Esomeprazole (2* 20mg) 1 - 1 - 0
Ziua 41- 2020.12.02
- nicio erupție, mancarime neglijabila
- intrerup tratamentul cu medrol si nexium
Tratament zilnic:
- Xyzal - Levocetirizine (2* 5mg) 1 - 0 - 1
- Borenar - Bilastine (2* 20mg) 1 - 0 - 1
Ziua 53- 2020.12.09
- nicio erupție, mancarime neglijabila
- am observat că fața este mai umflata decât atunci când luam medrol/prednisone. în retrospectivă probabil că eram umflat și înainte de urticarie, dar am crezut că m-am îngrășat.
- ganglionul de sub brațul stâng este puțin umflat. nu doare și este moale la atingere
- am luat ibuprofen din când în când ca înlocuitor pentru medrol (pe post de antiinflamator)
- zona de sub gât este puțin roșiatică seara și dimineața dar roșeața se reduce substanțial după ce iau Xyzal/Borenar
Tratament zilnic:
- Xyzal - Levocetirizine (2* 5mg) 1 - 0 - 1
- Borenar - Bilastine (2* 20mg) 1 - 0 - 1
Ziua 57- 2020.12.13
- mici zone roșiatice apar și dispar în timpul zilei (în zona gâtului și a mâinilor, în principal)
- fața e mai puțin umflată
- ganglionul de sub brațul stâng este puțin umflat. poate ceva mai puțin decât acum 4 zile
- acum iau ibuprofen de doua ori pe zi
Tratament zilnic:
- Xyzal - Levocetirizine (2* 5mg) 1 - 0 - 1
- Borenar - Bilastine (2* 20mg) 1 - 0 - 1
- Ibuprofen (2* 400mg) 1 - 0 - 1
Ziua 63- 2020.12.19
- mici zone roșiatice apar și dispar în timpul zilei (în zona gâtului și a mâinilor, în principal)
- fața e la fel de umflată ca înainte, poate ceva mai puțin când iau ibuprofen
- ganglionul de sub brațul stâng tot este umflat
- am o tuse productivă, în special dimineața și apoi de câteva ori peste zi
- schimb tratamentul de la 2 Xyzal/Borenar/zi la 1 din fiecare pe zi
Tratament zilnic:
- Xyzal - Levocetirizine (2* 5mg) 0 - 0 - 1
- Borenar - Bilastine (2* 20mg) 1 - 0 - 0
- Ibuprofen (2* 400mg) 1 - 0 - 1
Ziua 64- 2020.12.21
- consult medicul pneumoftiziolog
- nicio schimbare in corp
Fac un test functional pulmonar

Tratament zilnic:
- Xyzal - Levocetirizine (2* 5mg) 0 - 0 - 1
- Borenar - Bilastine (2* 20mg) 1 - 0 - 0
- Ibuprofen (2* 400mg) 1 - 0 - 1
Ziua 66- 2020.12.22
- mici zone roșiatice apar și dispar în timpul zilei (în zona gâtului și a mâinilor, în principal)
- ganglionul de sub brațul stâng tot este umflat
- am o tuse productivă, în special dimineața și apoi de câteva ori peste zi
- scaunul nu mai este regulat (a devenit regulat după antibiotice)
La recomandarea medicului pneumoftiziolog, fac urmatoarele analize:
*VSH... 18 mm/h (<= 15) 18/11/2020 6
*Proteina C reactiva...0,716 mg/dL (<= 0,500) 18/11/2020 <0,050
*Fibrinogen... 4,83 g/L (1,7 - 4,2) 18/11/2020 2,67
Hemoleucograma...
Hematii....... 5480000 /mm3 (4570000 - 5980000) 18/11/2020 5770000
Hemoglobina... 15,3 g/dL (13,9 - 17,7) 18/11/2020 16,2
Hematocrit.... 48,0 % (39,6 - 51,8) 18/11/2020 50,8
MCV........... 87,6 fL (80,1 - 95,3) 18/11/2020 88,0
MCH........... 28,0 pg (27,6 - 33,2) 18/11/2020 28,1
*MCHC.......... 31,9 g/dL (33,0 - 37,2) 18/11/2020 32,0
RDW........... 14,4 % (11,5 - 14,7) 18/11/2020 13,8
Trombocite.... 299000 /mm3 (150000 - 370000) 18/11/2020 326000
*Leucocite..... 13260 /mm3 (3790 - 10330) 18/11/2020 14840
FORMULA LEUCOCITARA:
Neutrofile... 60,40 % 8010 /mm3 (42,00 - 77,00) 18/11/2020 85,70
Limfocite.... 33,40 % 4430 /mm3 (20,00 - 44,00) 18/11/2020 10,30
Monocite..... 5,10 % 680 /mm3 (2,00 - 9,50) 18/11/2020 3,80
Eozinofile... 0,50 % 70 /mm3 (0,50 - 5,50) 18/11/2020 0,10
Bazofile..... 0,50 % 70 /mm3 (0,00 - 1,75) 18/11/2020 0,20
Feritina...
212,7 ng/mL (22,0 - 322,0) 23/10/2020 236,1
467,9 pmol/L (48,4 - 708,4) 519,4
Timp Quick...
PROBA:
TQ................. 10,3 ''
IQ................. 131 %
INR................ 0,86
MARTOR:
TQ................. 11,9 ''
IQ................. 100 %
INR................ 1,00
D-Dimer... 0,36 mg/L (< 0,50)
Ac. anti SARS-CoV-2 IgG...1,10 AU/mL (< 10,00)
Interpretare:
IgG < 10 AU/mL ..... Negativ
IgG >= 10 AU/mL ..... Pozitiv
Ac. anti SARS-CoV-2 IgM...0,16 AU/mL (< 10,00)
Interpretare:
IgM < 10 AU/mL ..... Negativ
IgM >= 10 AU/mL ..... Pozitiv
Glucoza...
82 mg/dL (74 - 106) 23/10/2020 96
4,55 mmol/L (4,11 - 5,88) 5,33
Istoric:

Tratament zilnic:
- Xyzal - Levocetirizine (2* 5mg) 0 - 0 - 1
- Borenar - Bilastine (2* 20mg) 1 - 0 - 0
- Ibuprofen (2* 400mg) 1 - 0 - 1
Ziua 67- 2020.12.23
- nicio schimbare in corp
Analize realizate la recomandarea medicului pneumoftiziolog
Raport medical:
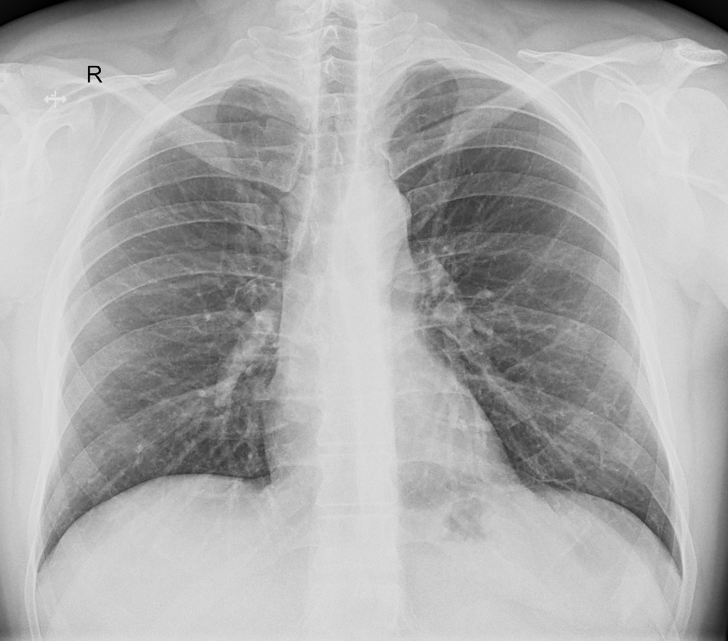
Opacitate micronodulara posibil sechelara apical stanga.
Banda opaca liniara - subclavicular stanga.
Trama vasculointerstitiala usor accentuata infrahilar stanga.
Contur cardiomediastinal normal.

Analize realizate la recomandarea medicului reumatolog
VSH 15 Ref: < 15 mm/h
*Fibrinogen 512 Ref: 220 - 496 mg/dL
*CRP 7.1 Ref: 0 - 5 mg/l
*IgE 589.1 Ref: < 100 UI/ml
Ac Borrelia burgdorferi sensu lato IgG : negativ
Ac Borrelia burgdorferi sensu lato IgM : negativ
Complement seric C3 149 mg/dL Ref: 82 - 185 mg/dl
Complement seric C4 31.3 mg/dL Ref: 15 - 53 mg/dl
Ac Anti-cANCA √ Negativ (1.2)
Negativ: <5.0 UI/ml
Pozitiv: >5.0 UI/ml
Ac Anti-pANCA √ Negativ (0.9)
Negativ: < 5 U/mL
Pozitiv: >= 5 U/mL
Ac Antinucleari (ANA) depistare si titrare
√ Prezenta fluorescenta citoplasmatica granulara,slab pozitiva
Titru 1 : 100
Ref:
Titru < 1:100 Negativ
Titru 1:100 - <1:320 Pozitiv slab
Titru >/= 1:320 Pozitiv; sugestiv pentruafectiuni reumatice sistemice
Tratament zilnic:
- Xyzal - Levocetirizine (2* 5mg) 0 - 0 - 1
- Borenar - Bilastine (2* 20mg) 1 - 0 - 0
- Ibuprofen (2* 400mg) 1 - 0 - 1
Ziua 72- 2020.12.28
- pete rosiatice apar dupa efort, sau daca imi e foame si dispar dupa somn sau antihistaminice
- am facut o ecografie parti moi pentru ganglionul umflat iar rezultatul este:
- constatare: ganglion de 1.86/1.13cm diametru, aspect neomogen, bine incapsulat
- tratament: aplicatii locale unguent antiinflamator 3x/zi
- am avut o zi cu mai multa activitate fizica ia rezultatul au fost mult mai multe pete la finalul zilei
Tratament zilnic:
- Xyzal - Levocetirizine (2* 5mg) 0 - 0 - 1
- Borenar - Bilastine (2* 20mg) 1 - 0 - 0
- Ibuprofen (2* 400mg) 1 - 0 - 1
- Nexium (2* 20mg) 1 - 0 - 1
- Diclofenac sodic - unguent 1 - 1 - 1
Ziua 85- 2021.01.10
- am oprit ibuprofen/nexium
- petele roasiatice apar din ce in ce mai rar, motiv pentru care iau borenar/xyzal doar la nevoie
- cred ca ganlionul este mai putin umflat
Tratament zilnic:
- Xyzal - Levocetirizine (2* 5mg) 0 - 0 - x
- Borenar - Bilastine (2* 20mg) x - 0 - 0
- Diclofenac sodic - unguent 1 - 1 - 1
2021.01.13
- am făcut un nou eco pt. ganglion (și mamar), cu următorul diagnostic:
- ginecomastie bilaterală inactivă
- ganglionii axiali sunt normali iar recomandarea este eco anual
- zona umflată de la ganglion s-a redus substanțial.
2021.01.30
- din când in când apar pete roșiatice, în special seara
- câteodată apar și peste zi, dar se întâmplă să dispară după ~30 min
- iau borenar la nevoie, dacă văd ca petele alea se măresc
- am observat ca se “scămoșează” pielea de pe frunte, în special după ce fac duș
Întrebări
Din ce am înteles, tratamentul tratează simptomele dar cauza este încă necunoscută și ar putea sa fie de natură infecțioasă,alergică,auto-imună, parazitoză, sau altceva
- În ce direcție as mai putea face verificări ?
- Mă tem că la finalul tratamentului erupția se va întoarce.